Comprehensive Care for Pancreatic Cancer

GI-and-pancreatic-cancer-multidisciplinary-care-team-saint-johns-cancer-institute
A multidisciplinary team, including radiation oncolgy, surgical oncology, and medical oncology, are essential to maximize patient outcomes.

At the Saint John’s Cancer Institute in Santa Monica, California, we are continuously test new innovative therapies and diagnostic methods for pancreatic cancers.

The gastrointestinal team at Saint John’s Health Center is highly experienced, treating thousands of patients each year for a variety of gastrointestinal tumors and pancreatic cancers using minimally invasive techniques such as robot-assisted surgery.

 

About Pancreas Cancer Treatment

Pancreatic cancer is one of the most aggressive and deadly malignancies, posing significant challenges for effective treatment. Minimally invasive, robot-assisted surgery and interventions such as the Whipple procedure, distal pancreatectomy, and total pancreatectomy have expanded the options for curative treatment in localized cases. This disease is often diagnosed at advanced stages, limiting the potential for curative interventions. However, advancements in surgical techniques, radiation therapy, chemotherapy, and palliative care have shown promise in improving outcomes for patients with pancreatic cancer.

Endoscopic Retrograde Cholangiopancreatography (ERCP)
Your overall health, type of cancer, and treatment preferences will help guide the course of treatment.

Before a treatment plan cancer be developed for pancreatic cancer, we will take the following into account:

  • Your age, overall health, and medical history
  • Location and extent of the disease
  • Type of cancer
  • Your tolerance of specific medicines, procedures, or therapies
  • Expectations for the course of the disease
  • Your preferences for treatment

The management of pancreatic cancer requires a multidisciplinary approach, involving surgery, radiation therapy, and chemotherapy to achieve the best possible outcomes. With recent advancements in surgical techniques and perioperative care, we aim to enhance the quality of life for patients and extend survival rates.

– Dr. Anton Bilchik

Pancreatic Cancer Treatment

Depending on the type of pancreatic cancer and its stage, it may be treated with one or more of the following:

Surgery

robot-assisted surgery for pancreatic cancers
Robot-assisted surgery for pancreas cancer provides a minimally invasive approach that results in faster recovery.

Surgery, the most effective treatment may be necessary to remove the entire tumor, a section, or occasionally the entire pancreas. The type of surgery performed depends on the stage of the pancreatic cancer, the location and size of the tumor, and your overall health.

Our surgeons have extensive experience operating on the pancreas. These operations, because of their complexity, should be done at Centers of Distinction, of which the Saint John’s Cancer Institute is one. Blood transfusion and admission to the intensive care unit are rarely required. Most patients can eat soon after surgery and generally leave the hospital in less than one week. The surgeons also have extensive experience in performing pancreas surgeries using minimally invasive techniques, including robot-assisted surgery, resulting in less pain for the patient, shorter hospital stays, and a quicker recovery.

 

Whipple Procedure (Pancreaticoduodenectomy)

The Whipple procedure is the most common approach for resectable tumors (removable with surgery) in the head of the pancreas. It involves the removal of the head of the pancreas, the gallbladder, part of the common bile duct, a portion of the duodenum, and sometimes a small section of the stomach. The remaining parts are then reconnected to maintain digestive continuity. This intricate surgery is complex and requires a highly skilled surgical team. It offers the best chance for cure in localized cases.

Distal Pancreatectomy

For tumors located in the body or tail of the pancreas, a distal pancreatectomy may be performed. This surgery involves the removal of the body and tail of the pancreas, and sometimes the spleen, if necessary. Distal pancreatectomy is often considered for tumors that have not spread to the head of the pancreas or other adjacent organs.

Total Pancreatectomy

Total pancreatectomy involves the complete removal of the pancreas, along with the spleen, gallbladder, and common bile duct. This procedure is reserved for cases where the cancer has extensively spread throughout the pancreas or in selected cases of high-risk genetic syndromes associated with pancreatic cancer.

Palliative Surgery:

In advanced cases where the tumor is not amenable to curative surgical interventions, palliative surgery can help alleviate symptoms and improve the patient’s quality of life. Palliative surgery aims to bypass blocked bile ducts or stomach outlet obstruction caused by the tumor. It can provide relief from jaundice, pain, and other symptoms, enhancing the patient’s overall well-being.

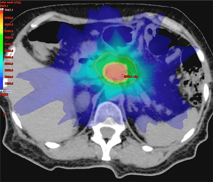
External beam radiation therapy for pancreatic cancer
External beam radiation therapy uses imaging to precisely target the tumor, concentrating treatment to cancer cells.

Radiation Therapy for Pancreatic Cancer:

Radiation therapy plays a crucial role in the multidisciplinary management of pancreatic cancer. It involves the use of high-energy X-rays or other forms of radiation to target and destroy cancer cells. Radiation therapy can be administered before surgery (neoadjuvant), after surgery (adjuvant), or in combination with chemotherapy (chemoradiation) to enhance the treatment’s effectiveness.

External beam radiation therapy is delivered from a machine that moves around that patient while laying down. As it rotates, it directs radiation to specific points predetermined by the radiation oncologist, maximizing the dose to the cancer while avoiding healthy tissues and structures. Radiation can be delivered in a single dose or over several weeks, depending on the treatment plan.

Chemotherapy for Pancreatic Cancer:

Chemotherapy is a systemic treatment that utilizes drugs to destroy cancer cells throughout the body. It is often used in combination with surgery or radiation therapy to improve outcomes. For patients with advanced or metastatic pancreatic cancer, chemotherapy may be the primary treatment option to help control the disease and alleviate symptoms.

Medication for Pain Management:

Pancreatic cancer can cause severe pain due to tumor growth and invasion of nearby structures. Pain management is a critical aspect of patient care. Various medications are used to manage pain, including opioids, nonsteroidal anti-inflammatory drugs (NSAIDs), and nerve blocks. In some cases, palliative surgical procedures, like celiac plexus block, may be performed to relieve pain by blocking the nerves transmitting pain signals from the pancreas.

“Dr. Google” can be wrong 70 to 80 percent of the time when you try and look up what you think you may have.

– Dr. Anton Bilchik

Questions to ask your doctor about pancreas cancer

You should have a good understanding of what expect at your first appointment with either the surgical oncologist or the medical oncologist. It is important to think about your questions beforehand and perhaps make a list. It is also helpful bring a family member or friend. You can ask to record the conversation, which helps with recollection.

Are you sure this is a pancreas cancer and not a different kind of cancer?

Sometimes cancer can spread to the pancreas from another organ or part of the body, which is not pancreas cancer.

Do I need additional tests or imaging?

Tests, including a biopsy, are needed for a definitive diagnosis. Our pathology team can quickly determine the type of pancreas cancer, or if it is a benign (non-cancerous) condition.

What are the chances that this can be surgically removed versus needing chemotherapy or radiation?

Depending on the circumstance of the tumor and its location, surgery may be the primary treatment.

5-star-americas-best-surgical-care-saint-johns-health-center
Healthgrades’ 2023 surgical award for Saint John’s Health Center

Our surgical oncologists are training the next generation of surgeons in minimally invasive robotic surgery, preparing tomorrow’s experts in a multidisciplinary, advanced surgical approach to care. Saint Johns has been recognized as Healthgrades America’s 50 Best Hospitals for Surgical Care. Call today to learn more about the diagnosis and treatment of pancreas cancer. Our multi-disciplinary team is ready to support you.

If you have questions regarding Pancreatic Cancer or treatment, please call today. Click here to request an appointment.

Webinar on Pancreatic Cancer

Listen to Anton J. Bilchik, MD, Chief of General Surgery, Director of Gastrointestinal and Hepatobiliary Program, explain pancreatic surgery with his patient, Bonnie, a pancreatic cancer survivor. Dr. Bilchik offers key questions to ask your doctor.

Pancreatic Cancer: Answers to common questions with special guest, Bonnie, Pancreas Cancer Survivor.