What is Esophageal Cancer?

Esophageal (Esophagus) cancer is a type of cancer that effects the muscular tube that connects the mouth to the stomach. This organ passes through the neck, chest, and abdomen. Cancers of the esophagus can occur anywhere along the passage of this organ. The specialists at Saint John’s are equipped to provide comprehensive treatment and post-surgical care for esophageal cancer.

esophageal cancer
Esophageal cancer can grow to restrict the passage of food and spread to organs nearby.

Esophageal cancer starts in the inner lining of the esophagus and then spreads to the esophageal wall and nearby organs. Frequently, esophageal cancer can spread to the lymph nodes nearby and spread through the bloodstream to organs like the liver or lungs. Esophageal cancer is not very common, it is the sixth most common cancer and unfortunately there are no good screening tests for it currently. In Western countries is most common at the junction between the esophagus and stomach, an area that doctors refer to as the Gastroesophageal Junction.

Common symptoms of esophageal cancer include difficulty swallowing. The struggle exists first with solid foods and will progress to liquids as well. As the tumor grows and restricts passage of food through the esophagus further, individuals can develop extended heartburn, cough, hoarseness, nausea, and vomiting. With time, weight loss can be progressive, and patients can become malnourished. There are no discernable symptoms for early esophageal cancer.

Evaluation & Diagnosis

Diagnosis of esophageal cancer requires a high index of suspicion and a thorough history and physical exam. The most effective diagnostic test is an endoscopy, during which a gastroenterologist uses a slim camera to view the inside of the esophagus and biopsy the tumor as needed.

Additional tests that are also performed include a barium swallow exam, where the patient swallows a special dye while undergoing x-ray imaging. Staging tests may include a CT scan of the chest and abdomen as well as a PET (Positron Emission Tomography) so that a final diagnosis is possible. At Saint John’s Health Center, we may order an additional endoscopic test called an Endoscopic Ultrasound (EUS) to evaluate the depth of invasion of the tumor into the wall of the esophagus.

Factors for esophageal cancer treatment
Your overall health may be a factor for determining your esophageal cancer treatment.

Factors that may affect treatment

  • Your age
  • Your overall health and medical history
  • The stage or extent of the disease, such as obstruction
  • Tumors that extend into the stomach
  • Cancer that has spread to other organs
  • Your tolerance for specific medications, procedures, or therapies
  • Expectations for the course of the disease
  • Your preferences for treatment

What causes Esophageal Cancer?

Though the causes of esophageal cancer do not point to any one particular source, we are continuously understanding prevalance, risk, and treatment outcomes. Esophageal cancer occurs when cells in the esophagus mutate. This change causes cells to grow uncontrollably. As these abnormal cells spread, they can begin to invade nearby structures such as the wall of the esophagus, as well as other parts of the body.

Types of esophageal cancer

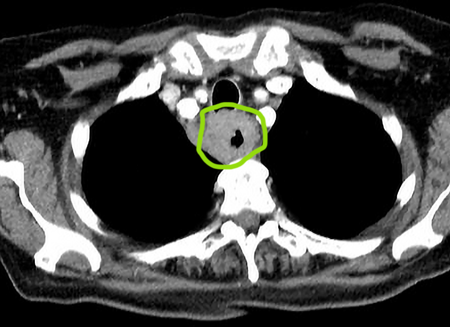
CT scan - esohageal cancer
Cancer of the esophagus may distort and block the esophagus and invade surrounding structures.

Esophageal cancer treatment is based on the type of cancer, which are identified according to the type of cancer cells that are involved. These include:

Adenocarcinoma

Adenocarcinoma starts in the cells of mucus-secreting glands of the esophagus, occurring mostly in the lower portion of the esophagus close to the stomach. It is the most common esophageal cancer that primarily affects white men.

Squamous cell carcinoma

Squamous cells are thin cells that line the surface of the esophagus. Squamous cell carcinoma occurs most often in the upper and middle portions of the esophagus. Squamous cell carcinoma is the most common esophageal cancer worldwide.

Other rare types include small cell carcinoma, sarcoma, lymphoma, melanoma and choriocarcinoma.

What are the Risk Factors for Esophageal Cancer?

Risk factors for esophageal cancer include smoking, alcohol use and prolonged exposure of the esophagus to heartburn or acid reflux. Patients who have a long history of reflux and develop trouble swallowing should see their doctor immediately. Extended acid reflux damage can develop into cancerous conditions.

There are two common types of esophageal cancer seen in the United States. Most common are Adenocarcinomas at the gastroesophageal junction, which is related to smoking, alcohol use and longstanding reflux. These tumors typically occur in males between the 50 to 60 years. Obesity also contributes to the prevalence of these tumors in this group of patients.

Squamous cancer is more common worldwide, but less common in the Western world. Risk factors include smoking, alcohol intake and drinking very hot beverages. More commonly these types of cancers are in the upper to middle portion of the esophagus.

Barrett’s Esophagus

Barrett's esophagus comparisson
Barrett’s esophagus results from prolongued acid reflux damage of the lower esophagus.

Though the risk for developing cancer from Barrett’s esophagus is small, there is reason to consult with your physician if you have this condition. Barrett’s Esophagus is the result of damage caused by acid reflux, which causes the lining of the esophagus to become thick and inflamed.

Gastroesophageal reflux disease (GERD)

As the lower part of the esophagus sphincter (valve to the stomach) begins to fail, gastroesophageal reflux disease (GERD) takes hold, which is accompanied by symptoms such as heartburn and regurgitation. In some individuals, GERD can trigger a cellular change in the lining of the esophagus and could become cancerous.

Esophageal Cancer Treatment

The primary treatment for esophageal cancer is surgery, which offers the best chance for cure.

Robot-assisted Surgery

Robot-assisted surgery is a minimally invasive approach that provides greater health benefit than traditional surgery. Our surgeons at Saint John’s are specialists trained in robotic surgery.

Radiation Therapy for Esophageal Cancer and the Stomach

Radiation therapy, or radiotherapy, provides additional protection to reduce recurrence of cancer by destroying remaining cancer cells that could not have been entirely removed by surgery. Radiation can also be used to shrink tumors prior to surgery, which may help to simplify the surgery.

Chemotherapy for Esophageal Cancer

Chemotherapy is used to treat cancer either by itself or in combination with surgery and/or radiation therapy. Chemotherapy may be used before surgery (neoadjuvant therapy) to shrink the tumor, or it may be given after surgery (adjuvant therapy) to kill any remaining cancer cells.

saint-john's-health-center
Saint John’s Health Center in Santa Monica provides a variety of treatments for esophageal cancer.

Immunotherapy for Esophageal Cancer

Immunotherapy uses the patient’s immune system to fight the cancer. Immunotherapy is a form of biologic therapy.

Targeted Therapy for Esophageal Cancer

Targeted therapy is a type of treatment that uses drugs to identify and attack specific cancer cells, which usually cause less harm to normal cells than chemotherapy or radiotherapy.

Learn More

Click here to learn more about Esophageal Cancer Treatments.

Call today to learn more about esophageal cancer symptoms and diagnosis. Our multi-disciplinary team is ready to support you.

If you have questions about gastric symptoms, esophageal cancer, and stomach related conditions, please call today. Click here to request an appointment.