What is Upper Tract Urothelial Cancer?

Upper Tract Urothelial Cancer
Cancers of the upper tract can manifest from the kidneys, down through the ureters, the bladder, and urethra.

Upper tract urothelial carcinoma is a cancer that can occur anywhere from the inner linings of the kidney, down the ureter, in the bladder, and down the urethra.

Between 5% and 10% of all urothelial cancers start in the ureter (or renal pelvis) and are diagnosed as upper tract urothelial carcinoma (UTUC). Typically, 92% of all urothelial carcinomas occur in the bladder, but about 7-8% of urothelial carcinomas occur in the upper lining of the kidney.

UTUCs can also occur in the ureter (the tubes that connect your kidneys to your bladder), or in the urethra (the tube that connects the bladder to the urinary meatus, where it leaves the body). UTUC in the renal pelvis or in the ureter can develop cancer in the bladder over time.

What Causes Ureter Cancer?

Ureteral cancer is uncommon and occurs mostly in older adults and in those who previously treated for bladder cancer.

Ureteral cancer is closely related to bladder cancer. These are cancers that originate in the renal pelvis, calyx, or ureters that extend to the bladder and are referred to as descending tumors.  22-47% of the ureteral cancer cases will also develop bladder cancer at some time in the future.

Common factors of ureter cancer:

  • Smoking
  • Exposure to aniline dyes (carcinogenic chemicals)
  • Exposure to excessive radiation
  • Genetics

Patients with a syndrome called Lynch Syndrome also have an increased chance of developing upper tract urothelial carcinoma. Lynch Syndrome is an inherited cancer syndrome. We estimate that 21% of patients with upper tract urothelial carcinoma have a variant of Lynch Syndrome.

Upper Tract Urothelial Carcinoma (UTUC)

20-25% of patients with carcinoma in the bladder will develop upper tract urothelial carcinoma.

What are the Symptoms of UTUC?

  • Blood in the urine (may be microscopic, found using a urine test)
  • Urinary tract infections
  • Flank pain (the right or left side of the lower torso)
  • Back pain
  • Kidney pain
Related carcinoma
56% of patients with UTUC have non-muscle-invasive upper tract urothelial carcinoma

44% of patients with UTUC have invasive, or more locally advanced, or metastatic, upper tract urothelial carcinoma.

What are the Risk Factors for Ureter Cancer?

It is well known that tobacco increases risk for all types of cancer and carcinoma. Patients are two to three times at increased risk of developing urothelial carcinoma if they have exposure to aniline dyes.

Aniline is used in various industries that produce rubber materials, such as tires, balloons, gloves, etc., and clothing when used as a dying agent for color, which is a fine powder.

The following industries/careers are at a higher risk of carcinogenic chemical exposure:

drycleaning-chemical-process
Certain industries have a greater risk for developing UTUC.
  • Dry Cleaners
  • Painters
  • Autoworkers
  • Truck drivers
  • Paper manufactures
  • Metal workers
  • Plumbers
  • Hairdressers
  • Tire and rubber workers
  • Chemical workers
  • Petroleum workers

Diagnosis of Upper Tract Urothelial Carcinoma

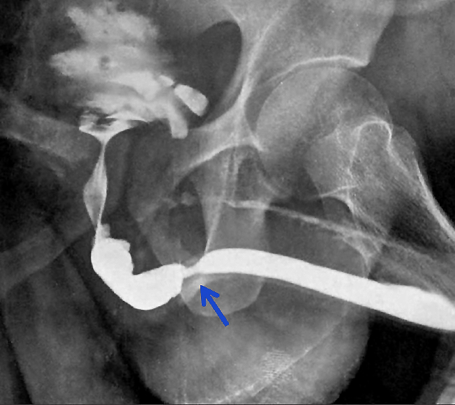
Retrograde Pyelogram - Urethral obstruction
A CT scan may reveal the presence of cancer, visible as a blockage.

A CT scan is performed to provide clinicians 2 and 3D imaging of the body, which helps to distinguish normal structures and organs from tumors, known as a CT urogram. Sometimes an MRI test is performed (or MR urogram, Magnetic Resonance Imaging), which offers similar results.  However, even with such imaging capability, the urologist may need to investigate the ureter and kidney directly with a special device called a ureteroscope to successfully diagnose UTUC.

A retrograde pyelogram is another kind of imaging test that uses contrast dye to improve imaging for the bladder, ureters, and kidneys. This procedure may be used in cases where an obstruction is suspected in the ureters or the kidney, such as a tumor, stone, blood clot, or stricture (narrowing of the tube).

A simple urine sample called a urine cytology is often helpful to provide a complete diagnosis. The sample is examined by a pathologist who can determine if cancerous cells are present and are coming from the urinary system.

How do you treat Ureteral Cancer and Upper Tract Urothelial Carcinoma?

There are two types of treatment for upper tract urothelial carcinomas:

minimally invasive robot assisted surgery - kidney
The tumor location and grade will indicate the type of treatment needed.

Nephron sparing treatment, or conservative management treatment, means preservation of the entire kidney, or part of the kidney, while reducing the adverse effects to kidney function. We can ablate and destroy the tumor without open surgery by using a small device and camera than can traverse into the ureter and kidney, targeting just the tumor.  Localized chemotherapy or immunotherapy in the pelvis or the ureter may also be appropriate for some cancers. Depending on the location of the tumor, robotic surgical treatment may be optimal to remove all or part of the ureter, kidney, and bladder, which allows for more delicate surgeries and faster recovery for patients.

Conservative Treatment

A drug known as mitomycin-c has been effective for the treatment of urothelial cancers in the bladder and performing washes (instillations), which is placing the material into the bladder and having the patient hold it in for a short period of time before urinating.  Mitomycin-c was initially developed as an antibiotic in 1963. Though it was a less effective antibiotic, it became highly productive in treating cancers.

How mitomycin-c is delivered is very important. To maintain its position in the kidney or ureter, it is converted from a liquid to a gel form, which supports improved delivery of the medication. Therefore, the use of this treatment is considered topical therapy, much like applying lotion to the skin.

Immunotherapy

Immunotherapy is generally ideal of patients with higher-grade disease, though it may become part of the treatment process for low-grade cancers in the future. UTUCs have a high rate of genetic mutations and unstable genes, which makes them more susceptible to immunotherapy treatments. These specific drugs are generally called checkpoint blockade.

Treating more aggressive cancers

Multidisciplinary Urology Team - Surgery Medical Oncology and Radiation
The multidisciplinary urology team at Saint John’s Health Center is ready to support you.

Aggressive cancers may involve removal of the kidney and the ureter, and sometimes the bladder. If patients have more aggressive disease, as with stage-2 or 3 UTUC, then the course of treatment involves radical surgery, with or without chemotherapy. In addition to removing the kidney, ureter, and part of the bladder, we also must remove the lymph nodes around in the area. Typically, this is done with minimally invasive surgery, like robotic surgery, where the incisions are very small.

If the cancer has spread or appears invasive beyond the ureter, or kidney, then we may recommend chemotherapy, sometimes before and after surgery. Chemotherapy has been shown to improve survival in patients with this type of cancer. If there is locally advanced disease, giving chemotherapy before removing the kidney can also help shrink the tumor and improve the efficiency of surgery, which depends on the stage of the cancer and if there is metastatic (distant) spread of the disease.  With one remaining kidney, kidney function is decreased.  Therefore, diet and healthy lifestyle are essential.

Staging

Stage 0, or stage TA or TIS

Stage 0, or stage TA or TIS is a tumor that is just involving the mucosa, the lining on the top. This occurs in 31% of patients with upper tract urothelial carcinoma.

Stage 1

stage 3 kidney cancer
Stage 3 indicates the cancer has expanded into the vein or adrenal gland.

Stage 1 occurs in 25% of patients. The tumor not only invades the mucosa, but the lamina propria. The lamina propria is a basement membrane where lymphatics and blood supply are plentiful.  If it the tumor is allowed to remain for an extended period of time, or if it is an aggressive type, it may spread.

Stage 2

Stage 2 involves muscle-invasive upper tract urothelial carcinoma.  Tumors not only invade the mucosa, and lamina propria, but they also invade the muscle lining of the ureter, or the renal pelvis. This occurs in 14% of patients.

Stage 3

Stage 3 cancers occur in 24% of patients. It involves the mucosa, the lamina propria and the muscle. In the kidney, it can grow from the renal pelvis into the kidney, or the fat around the renal pelvis or ureter.

Stage 4

Stage 4 upper tract urothelial carcinoma can involve surrounding organs. If it spreads to lymph nodes in the lung or in the retroperitoneum, it would be considered locally advanced or stage 4 upper tract urothelial carcinoma. This occurs in about 6% of patients.

Grading:

35% are low grade or non-aggressive tumors while 65% are high-grade or aggressive

If you have questions regarding Ureteral Cancer treatment, please call today. Click here to request an appointment.